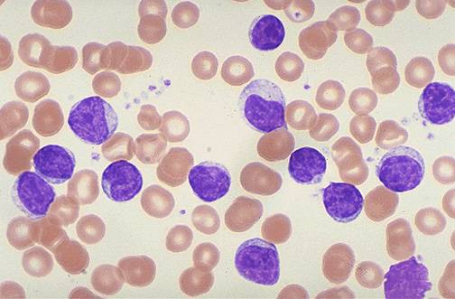
CLL in bloodChronic Lymphocytic Leukemia

Chronic Lymphocytic Leukemia is most common in adults over 50. It is caused by damage to a single lymphocyte in the bone marrow, which ironically gives a growth and survival advantage to that cell over the other lymphocytes (Leukemia and Lymphoma Society, 2005).

Incidence: The most frequent cause of adult leukemia in industrialized nations is CLL, which affects about 9,730-10,000 people annually in the United States (Robien and Ulrich, 2003).

Average age at onset: Most people are diagnosed with CLL after the age of 45. Approximately 95% of CLL patients are 50 years old or older, and the risk increases greatly as a person ages (Leukemia and Lymphoma Society, 2005).

Specific risk factors: CLL is different from the three other major forms of leukemia because it does not seem to be associated with exposure to radiation or benzene. CLL seems to occur more frequently in some families than others. An important subtype of CLL is known as “hairy-cell leukemia” because of the branching appearance of the leukemic cells it creates (Leukemia and Lymphoma Society, 2005).

Home

References Cited

Created by Shannon McGlauflin, Jolene Munger, and Rebecca Nelson, 2005.